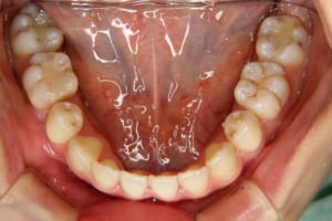
正中のずれが気になり来院された20代女性の開咬の治療例
-
Before
-
After
治療前
治療中
治療後
| 年齢・性別 | 23才 女性 |
|---|---|
| 主訴 | 上下前歯のずれが気になる |
| 治療内容 | マルチブラケット装置(唇側矯正装置)を用いた成人矯正治療を行いました。 |
| 使用した装置 | マルチブラケット装置 デーモンブラケット、ホワイトワイヤー 歯科矯正用アンカースクリュー(2本) トランスパラタルアーチ |
| 治療回数 | 27回 |
| 治療期間 | 2年3か月 |
| 抜歯および非抜歯 | 上顎:両側第一小臼歯 下顎:両側第二小臼歯 親知らず:4本 |
| 費用(保定除く) | 938,310円(税込) |
| リスク・副作用 | 主なものとして、 ・歯の痛み ・虫歯/歯周病 ・口内炎 ・発音障害 ・食事の制限 ・歯肉の退縮(歯茎が下がる) ・知覚過敏 ・歯根吸収(歯の根が短くなる) ・金属やゴムのアレルギーの発症 ・歯髄壊死(歯の神経が死んでしまう) 等のリスクが考えられます。 |
| その他/備考 | 正中のずれについてはしっかりとしたかみ合わせにしても改善しないこともありますが、このケースではしっかりと合っており患者様も大変ご満足していただけました。 今回一番の難しい問題点でもある開咬についても無事改善することができました。前歯でものが咬み切れるようになり、喜んでいただけました。 |




















