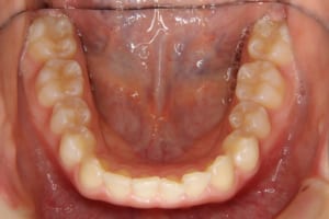
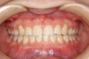
咬み合わせが深めで上下の歯の真ん中の位置がずれていた上顎前突の治療例
-
Before
-
After
治療前
治療後
| 年齢・性別 | 14才 女性 |
|---|---|
| 主訴 | 咬み合わせが深い 上の前歯が出ている |
| 治療内容 | マルチブラケット装置を使用した成人矯正治療を行いました。 |
| 使用した装置 | マルチブラケット装置(デーモンブラケットおよびシルバーワイヤー) 筋機能訓練(MFT)を行いました。 |
| 治療回数 | 39回 筋機能訓練(MFT)5回 |
| 治療期間 | 3年9か月 |
| 抜歯および非抜歯 | 上の左右第二小臼歯 下の右側第二小臼歯 |
| 費用(保定除く) | 901,260円(税込) |
| リスク・副作用 | 主なものとして、 ・歯の痛み ・虫歯/歯周病 ・口内炎 ・発音障害 ・食事の制限 ・歯肉の退縮(歯茎が下がる) ・知覚過敏 ・歯根吸収(歯の根が短くなる) ・金属やゴムのアレルギーの発症 ・歯髄壊死(歯の神経が死んでしまう) 等のリスクが考えられます。 |
| その他/備考 | 読書の大好きな子で、その話でスタッフととても盛り上がっていました。 治療については、思っていた以上に咬む力が強く、それに伴って治療の期間が長くなってしまいました。 治療についてはとても協力してくれて助かりました。 ありがとうございました。 |















