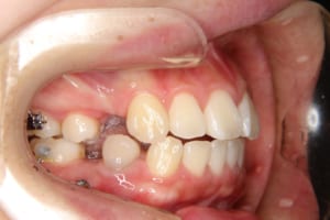
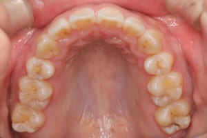
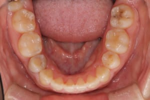
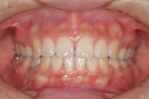
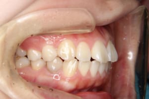
虫歯になった奥歯のところに親知らずを移動させた裏側矯正の治療例
-
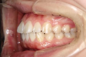
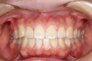
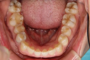
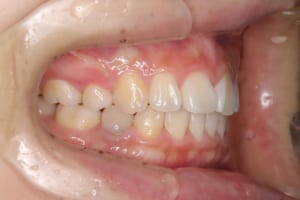
Before
-
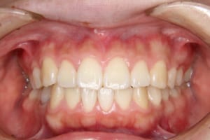
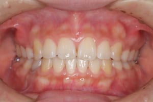
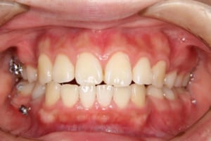
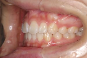
After
治療前
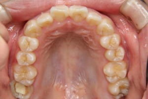
治療中
治療後
| 年齢・性別 | 23才 女性 |
|---|---|
| 主訴 | 虫歯の右上の奥歯を抜歯して親知らずをそこに動かしたい 上の前歯が出ている |
| 治療内容 | 舌側矯正治療(裏側矯正治療)を用いた成人矯正治療を行いました。 |
| 使用した装置 | マルチブラケット装置(舌側矯正装置) クリッピーLブラケット シルバーワイヤー 歯科矯正用アンカースクリュー(3本) |
| 治療回数 | 23回 |
| 治療期間 | 4年2か月 |
| 抜歯および非抜歯 | 上顎:両側第一小臼歯、右側第二大臼歯、左側第三大臼歯 下顎:両側第二小臼歯、左側第三大臼歯 |
| 費用(保定除く) | 1,212,200円(税込) |
| リスク・副作用 | 主なものとして、 ・歯の痛み ・虫歯/歯周病 ・口内炎 ・発音障害 ・食事の制限 ・歯肉の退縮(歯茎が下がる) ・知覚過敏 ・歯根吸収(歯の根が短くなる) ・金属やゴムのアレルギーの発症 ・歯髄壊死(歯の神経が死んでしまう) 等のリスクが考えられます。 |




















