子どもの矯正の治療例一覧
-
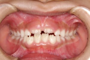
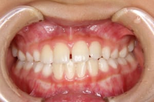
ご家族3人で矯正治療に通われた患者様の治療例
8才 女性 -
骨格的な下顎前突を改善しながら正中離開を閉じた男の子の治療例
8才 男性 -
前歯のクロスバイト(部分的に前歯のかみ合わせが逆になっている)を伴う小学生の女の子の治療例
8才 女性 -
何とか歯を抜かずに子供の矯正治療だけで終わった7才の女の子の治療例
7才 女性 -
受け口になりそうな小学生の女の子の治療例
7才 女性 -
3兄弟で子供の矯正治療を行った症例
8才 男性 -
正中離開している小学生男子の治療例
10才 男児 -
凸凹した歯並びをした9才の女の子の治療例
9才 -
正中のずれを伴う上顎前突の子供の治療例
8才 女性 -
過蓋咬合をともなう叢生のハーフの小学生の男性の治療例
8才 男性 -
歯列弓の狭窄を伴う上顎前突の小学生男子の治療例
9才 男性 -
下の前歯の歯肉退縮が起こり始めていた小学校低学年女子の治療例
6才 女性 -
叢生と過蓋咬合を伴う小学生の女の子の治療例
8才 女子 -
前歯の凸凹を気にして来院した9歳の男の子の治療例
9才 男性 -
先天欠損歯を伴う過蓋咬合と正中離開の少年の治療例
9才 男性 -
上顎前突と翼状捻転を伴う10歳の男の子の治療例
10才 男性 -
出っ歯と前歯の隙間を気にして治療を開始した小学校中学年の女子の治療例
8才 女子 -
小学校高学年男子の叢生の治療例
11才 男子 -
小学校低学年男児の反対咬合(受け口)の症例
8才 男児 -
小学生高学年女児の叢生と過蓋咬合の症例
12才 女性

























