進学や転院を考慮に入れ、短期間でマルチブラケット装置を終えた治療例
-
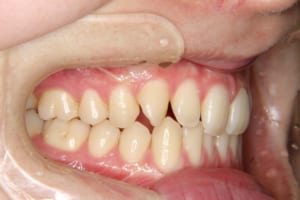
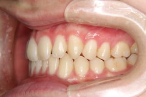
Before
-
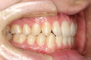
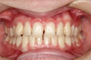
After
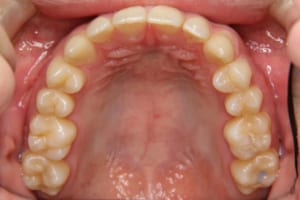
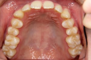
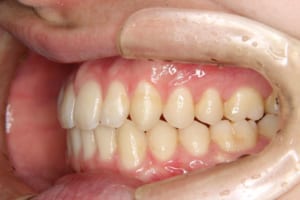
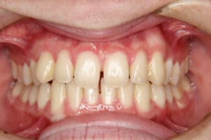
治療前
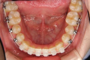
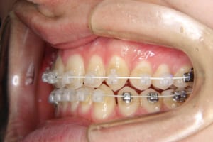
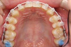
治療中
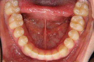
治療後
| 年齢・性別 | 17才 男性 |
|---|---|
| 主訴 | 上の前歯に隙間があるのが気になる |
| 治療内容 | マルチブラケット装置を使用した成人矯正治療を行いました。 |
| 使用した装置 | マルチブラケット装置 デーモンブラケット ホワイトワイヤー |
| 治療回数 | 14回 |
| 治療期間 | 1年0か月 |
| 抜歯および非抜歯 | 非抜歯 |
| 費用(保定除く) | 839,820円(税込) |
| リスク・副作用 | 主なものとして、 ・歯の痛み ・虫歯/歯周病 ・口内炎 ・発音障害 ・食事の制限 ・歯肉の退縮(歯茎が下がる) ・知覚過敏 ・歯根吸収(歯の根が短くなる) ・金属やゴムのアレルギーの発症 ・歯髄壊死(歯の神経が死んでしまう) 等のリスクが考えられます。 |
| その他/備考 | 大学進学による転居および転院のため早期にマルチブラケット装置を撤去し保定に入りました。 |




















