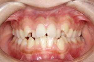
他院で治療しているものの改善せず、当院での治療を希望された30代女性の治療例
-
Before
-
After
治療前
治療中
治療後
| 年齢・性別 | 24才 女性 |
|---|---|
| 主訴 | 上の前歯が出ている 下の歯が凸凹 |
| 治療内容 | マルチブラケット装置を使用した成人矯正治療(唇側矯正)を行いまいした。 |
| 使用した装置 | 唇側矯正 Damonブラケット、ホワイトワイヤー 歯科矯正用アンカースクリュー(2本) |
| 治療回数 | 19回 |
| 治療期間 | 1年7か月 |
| 抜歯および非抜歯 | 上顎:両側第一小臼歯 下顎:両側第二小臼歯 |
| 費用(保定除く) | 890,570円(税込) |
| リスク・副作用 | 主なものとして、 ・歯の痛み ・虫歯/歯周病 ・口内炎 ・発音障害 ・食事の制限 ・歯肉の退縮(歯茎が下がる) ・知覚過敏 ・歯根吸収(歯の根が短くなる) ・金属やゴムのアレルギーの発症 ・歯髄壊死(歯の神経が死んでしまう) 等のリスクが考えられます。 |
| その他/備考 | 抜歯をしたケースですが、当院で使用しているセルフライゲーションブラケットや歯科矯正用アンカースクリューがうまく働いてくれたおかげか短い期間で治療を終えることができました。 患者様も大変満足していただけた様子でした。 |




















