叢生(八重歯、乱杭歯)の治療例一覧
-
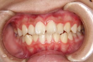
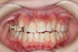
八重歯があり前歯で食べ物を咬みきることができなかった10代女性患者の治療例
13才 女性 -
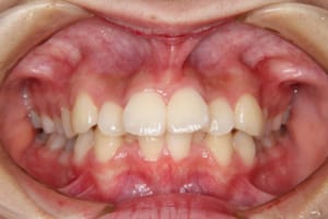
短期間で抜歯矯正を終えた見えない矯正(舌側矯正)治療を用いた20代男性の治療例
22才 男性 -
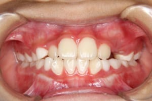
歯並び全体を気にしていた女子大学生の治療例
21才 女性 -
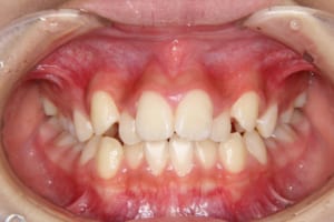
咬めない奥歯や、しっかりと咬めない左のかみ合わせを改善した10代女子の治療例
15才 女性 -
上下の歯を抜いて舌側矯正治療で口元を下げた治療例
23才 女性 -
上の前歯を引っ込めるために歯科矯正用アンカースクリューを使用した治療例
24才 女性 -
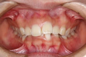
上の前歯が2本飛び出ていることを気にして来院された方の治療例
27才 女性 -
姉妹で矯正治療を行った叢生の治療例
12才 女性 -
早期に後期治療に移行した、小学生高学年の女子の治療例
11才 女性 -
叢生が前期治療だけで終わった小学生中学年の女子の治療例
8才 女性 -
下顎を片側抜歯するこで治療した中学生の治療例
13才 女性 -
道北から通院していただいた凸凹した歯並びの女子高校生の治療例
17才 女性 -
早期にワイヤー矯正を始めた小学生高学年女子の治療例
11才 女性 -
かなり上の方から八重歯が生えてきた中学生の治療例
12才 女性 -
お口が大きく開けるのが困難な裏側矯正治療の治療例
16才 女性 -
舌の癖を伴う前歯で咬むのが難しい20代女性の治療例
28才 女性 -
下の前歯が上の歯茎にあたるほどかみ合わせの深い上顎前突の治療例
15才 女性 -
上下の歯が前に出ていることが気になり治療を開始した20代女性の治療例
26才 女性 -
上の前歯が後ろに倒れこみ八重歯や過蓋咬合になっている女子高校生の治療例
16才 女性 -
上下の前歯の正中がすれていること等を気にして来院された女性の患者様の治療例
27才 女性
























