正中離開している小学生男子の治療例
-
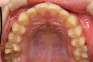
Before
-
After
治療前
治療後
| 年齢・性別 | 10才 男児 |
|---|---|
| 主訴 | かみ合わせが気になる |
| 治療内容 | 歯の交換や顎の成長を利用した小児矯正治療(子供の矯正治療)を行いました。 |
| 使用した装置 | 上下緩徐拡大装置(クワドヘリックス) 舌側弧線装置(リンガルアーチ) |
| 治療回数 | 20回 |
| 治療期間 | 3年2か月 |
| 抜歯および非抜歯 | 非抜歯 |
| 費用(保定除く) | 334,800円(税込) |
| リスク・副作用 | 主なものとして、 ・歯の痛み ・虫歯/歯周病 ・口内炎 ・発音障害 ・食事の制限 ・歯肉の退縮(歯茎が下がる) ・知覚過敏 ・歯根吸収(歯の根が短くなる) ・金属やゴムのアレルギーの発症 ・歯髄壊死(歯の神経が死んでしまう) 等のリスクが考えられます。 |
| その他/備考 | ご兄弟で通っていただき治療しました。 お二人とも子供の矯正治療のみで終わることができ、大変満足していただけました。 |















