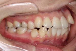
叢生、上下顎前突の症例
-
Before
-
After
治療前
治療後
| 年齢・性別 | 24才 女性 |
|---|---|
| 主訴 | 口元が出ている、引っ込めたい 歯並びが凸凹していて歯磨きできない |
| 治療内容 | マルチブラケット装置を使用した成人矯正治療を行いました。 歯科衛生士さんです。 治療途中で挙式があったため、一度前歯のブラケットを外しています。 |
| 使用した装置 | マルチブラケット装置(デーモンブラケットおよびホワイトワイヤー) トランスパラタルアーチ 歯科矯正用アンカースクリュー(2本) |
| 治療回数 | 25回 |
| 治療期間 | 2年2か月 |
| 抜歯および非抜歯 | 上下の左右第一小臼歯 |
| 費用(保定除く) | 921,250円(税込) |
| リスク・副作用 | 主なものとして、 ・歯の痛み ・虫歯/歯周病 ・口内炎 ・発音障害 ・食事の制限 ・歯肉の退縮(歯茎が下がる) ・知覚過敏 ・歯根吸収(歯の根が短くなる) ・金属やゴムのアレルギーの発症 ・歯髄壊死(歯の神経が死んでしまう) 等のリスクが考えられます。 |















