上下左右の八重歯(犬歯)の歯肉の退縮を伴う著しい叢生の30代女性の治療例
-
Before
-
After
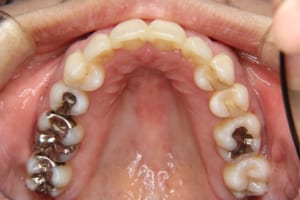
治療前
治療後
| 年齢・性別 | 34才 女性 |
|---|---|
| 主訴 | 全体的に歯並びが悪い |
| 治療内容 | マルチブラケット装置を使用した成人矯正治療を行いました。 通常は抜歯をしない犬歯ですが、今回は4本ともに歯肉退縮(歯茎が下がっている)および歯根の露出が認められたため、犬歯を抜歯の対象としました。 |
| 使用した装置 | マルチブラケット(デーモンブラケットおよびシルバーワイヤー) トランスパラタルアーチ 歯科矯正用アンカースクリュー(2本) |
| 治療回数 | 20回 |
| 治療期間 | 2年5か月 |
| 抜歯および非抜歯 | 上下の左右犬歯 |
| 費用(保定除く) | 739,800円(税込) |
| リスク・副作用 | 主なものとして、 ・歯の痛み ・虫歯/歯周病 ・口内炎 ・発音障害 ・食事の制限 ・歯肉の退縮(歯茎が下がる) ・知覚過敏 ・歯根吸収(歯の根が短くなる) ・金属やゴムのアレルギーの発症 ・歯髄壊死(歯の神経が死んでしまう) 等のリスクが考えられます。 |















