札幌市の矯正歯科なら円山さくらぎ矯正歯科
札幌市円山公園駅徒歩1分の矯正歯科医院

    平日11:30〜19:00 土日10:00〜18:00

CASE

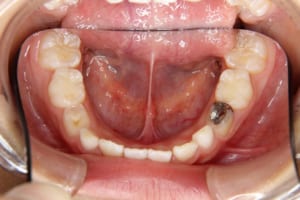
出っ歯と前歯の隙間を気にして治療を開始した小学校中学年の女子の治療例

  • Before
  • After

治療前

治療後

年齢・性別 8才 女子
主訴 上顎が出ている(前歯が出ている)
すきっ歯
治療内容 子どもの矯正治療(前期治療)
マルチブラケット装置を使用した大人の矯正治療(後期治療/成人矯正治療)を行いました。
使用した装置 子どもの矯正治療(前期治療)
  咬合挙上板
  緩徐拡大装置
大人の矯正治療(後期治療/成人矯正治療)
  マルチブラケット装置(セラミックブラケットおよびシルバーワイヤー))
  歯科矯正用アンカースクリュー(2本)
治療回数 子どもの矯正治療:18回(その他観察3回) 大人の矯正治療:21回
治療期間 子どもの矯正治療:3年2か月(その他観察1年0カ月) 大人の矯正治療:2年2か月
抜歯および非抜歯 上の左右第一小臼歯、右下の第一小臼歯
費用(保定除く) 884,520円(税込)
リスク・副作用 主なものとして、
・歯の痛み
・虫歯/歯周病
・口内炎
・発音障害
・食事の制限
・歯肉の退縮(歯茎が下がる)
・知覚過敏
・歯根吸収(歯の根が短くなる)
・金属やゴムのアレルギーの発症
・歯髄壊死(歯の神経が死んでしまう)
等のリスクが考えられます。