叢生と過蓋咬合を伴う高身長大学生男性の治療例
-
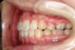
Before
-
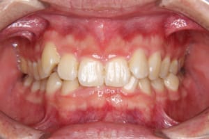
After
治療前
治療後
| 年齢・性別 | 24才 男性 |
|---|---|
| 主訴 | 上の犬歯が気になる 下の歯が凸凹 |
| 治療内容 | マルチブラケット装置を使用した成人矯正治療を行いました。 |
| 使用した装置 | マルチブラケット装置(デーモンブラケットおよびホワイトワイヤー) 歯科矯正用アンカースクリュー(2本) 筋機能訓練(MFT)は行っていません。 |
| 治療回数 | 37回 |
| 治療期間 | 3年2か月 |
| 抜歯および非抜歯 | 上の左右第三大臼歯 |
| 費用(保定除く) | 932,580円(税込) |
| リスク・副作用 | 主なものとして、 ・歯の痛み ・虫歯/歯周病 ・口内炎 ・発音障害 ・食事の制限 ・歯肉の退縮(歯茎が下がる) ・知覚過敏 ・歯根吸収(歯の根が短くなる) ・金属やゴムのアレルギーの発症 ・歯髄壊死(歯の神経が死んでしまう) 等のリスクが考えられます。 |
| その他/備考 | 咬み合わせが深い男性のケースのため、治療期間がそれなりにかかってしまいました。 治療の際にもスタッフやドクターとたくさん話をしてくれた患者様です。 テニスのインストラクターのアシスタントをしたり、アフリカや東南アジアなどの海外にも行ったりと、とても活動的な男の子でした。 治療が終了するときも、「もう終わりかー、寂しいな」と言ってくれたのがとても印象的でした。 |















