上顎前突と叢生の20代女性の治療例
-
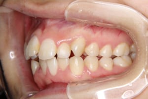
Before
-
After
治療前
治療後
| 年齢・性別 | 23才 女性 |
|---|---|
| 主訴 | 上の前歯が出ている |
| 治療内容 | マルチブラケット装置を使用した成人矯正治療を行いました。 |
| 使用した装置 | マルチブラケット装置(デーモンブラケットおよびホワイトワイヤー 歯科矯正用アンカースクリュー(2本) 筋機能訓練(MFT)を行いました。 |
| 治療回数 | 32回(MFT12回) |
| 治療期間 | 2年6か月 |
| 抜歯および非抜歯 | 上の左右第一小臼歯、左右第三大臼歯(親知らず) 下の左右第二小臼歯 |
| 費用(保定除く) | 946,080円(税込) |
| リスク・副作用 | 主なものとして、 ・歯の痛み ・虫歯/歯周病 ・口内炎 ・発音障害 ・食事の制限 ・歯肉の退縮(歯茎が下がる) ・知覚過敏 ・歯根吸収(歯の根が短くなる) ・金属やゴムのアレルギーの発症 ・歯髄壊死(歯の神経が死んでしまう) 等のリスクが考えられます。 |
| その他/備考 | ゴムがけや筋機能訓練など患者様の協力が多く必要なケースでした。 とても頑張っていただき、順調に治療を終わらせることが出来ました。 治療が終了した段階で妊娠中でかなりお腹も大きくなっていました。 |















