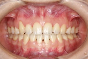
右側の八重歯を気にして来院された30代の女性の治療例
-
Before
-
After
治療前
治療後
| 年齢・性別 | 33才 女性 |
|---|---|
| 主訴 | 八重歯が気になる |
| 治療内容 | マルチブラケット装置を使用した成人矯正治療を行いました。 |
| 使用した装置 | マルチブラケット装置(エンパワーブラケットおよびシルバーワイヤー) 歯科矯正用アンカースクリュー(2本) 筋機能訓練(MFT)は行っていません。 |
| 治療回数 | 27回 |
| 治療期間 | 1年11か月 |
| 抜歯および非抜歯 | 上の左右第一小臼歯 下の左右第一小臼歯 |
| 費用(保定除く) | 873,180円(税込) |
| リスク・副作用 | 主なものとして、 ・歯の痛み ・虫歯/歯周病 ・口内炎 ・発音障害 ・食事の制限 ・歯肉の退縮(歯茎が下がる) ・知覚過敏 ・歯根吸収(歯の根が短くなる) ・金属やゴムのアレルギーの発症 ・歯髄壊死(歯の神経が死んでしまう) 等のリスクが考えられます。 |
| その他/備考 | ウサギを飼っている、とても可愛らしい方でした。 ゴムがけも頑張っていただき短期間で治療を終了することが出来ました。 クリニックに差し入れをしていただいたり、スタッフともたくさん話していただきました。 ありがとうございました。 |















