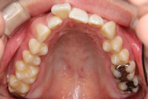
上の前歯1本が前に出ていて咬み合わない成人男性の治療例
-
Before
-
After
治療前
治療後
| 年齢・性別 | 21才 男性 |
|---|---|
| 主訴 | 上の前歯が1本出ている |
| 治療内容 | リンガルブラケット(裏側矯正/見えない矯正)を使用した成人矯正治療を行いました。 |
| 使用した装置 | リンガルブラケット 歯科矯正用アンカースクリュー(2本) 筋機能訓練(MFT)は行っていません。 |
| 治療回数 | 32回 |
| 治療期間 | 3年0カ月 |
| 抜歯および非抜歯 | 上の左右第一小臼歯、左右第三大臼歯(親知らず) 下の左側第二小臼歯、右側第一小臼歯、右側第三大臼歯(親知らず) |
| 費用(保定除く) | 1,097,390円(税込) |
| リスク・副作用 | 主なものとして、 ・歯の痛み ・虫歯/歯周病 ・口内炎 ・発音障害 ・食事の制限 ・歯肉の退縮(歯茎が下がる) ・知覚過敏 ・歯根吸収(歯の根が短くなる) ・金属やゴムのアレルギーの発症 ・歯髄壊死(歯の神経が死んでしまう) 等のリスクが考えられます。 |
| その他/備考 | 秋田から進学で北海道に来た男子大学生の患者様です。 治療終了し保定治療中に地元に戻られましたが、もっと北海道にいたいとおっしゃっていました。 治療中の協力度も高く、問題なく治療を進めることが出来ました。 ありがとうございました。 |















