札幌市の矯正歯科なら円山さくらぎ矯正歯科
札幌市円山公園駅徒歩1分の矯正歯科医院

    平日11:30〜19:00 土日10:00〜18:00

CASE

叢生と過蓋咬合を伴う小学生の女の子の治療例

  • Before
    上顎前突、前歯部叢生
  • After
    子供の矯正治療のみで終われました

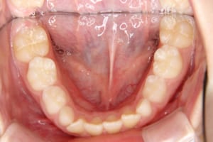
治療前

  • 前歯の叢生、上顎前突の症例です
  • 上の前歯が出ていることを主訴に来院しました
  • 上顎前突、前歯の叢生があります
  • 側切歯がねじれて生えています
  • 前歯部に叢生があります

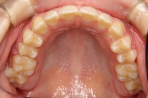
治療後

  • 子供の矯正治療のみで並びました
  • 子供の矯正治療のみで終了できました
  • 子供の矯正治療のみで並びました
  • 子供の矯正歯科治療後です
  • 子供の矯正歯科治療後です
年齢・性別 8才 女子
主訴 上の前歯が出ている
治療内容 側方拡大装置を含む、子どもの矯正治療を行いました。
使用した装置 緩徐拡大装置(クワドヘリックス)
舌側弧線装置(リンガルアーチ)
部分的なマルチブラケット装置
治療回数 37回
治療期間 4年10か月
抜歯および非抜歯 非抜歯
費用(保定除く) 503,500円(税込)
リスク・副作用 主なものとして、
・歯の痛み
・虫歯/歯周病
・口内炎
・発音障害
・食事の制限
・歯肉の退縮(歯茎が下がる)
・知覚過敏
・歯根吸収(歯の根が短くなる)
・金属やゴムのアレルギーの発症
・歯髄壊死(歯の神経が死んでしまう)
等のリスクが考えられます。
その他/備考 叢生の程度も中程度でしたが、子どもの矯正治療だけで終了することが出来て、本人も親御さんも大変満足していただけました。