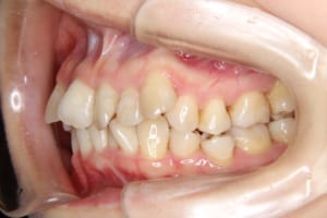
極度の叢生の20代女性の治療例
-
Before
-
After
治療前
治療後
| 年齢・性別 | 26才 女性 |
|---|---|
| 主訴 | 前歯が凸凹している |
| 治療内容 | マルチブラケット装置を使用した成人矯正治療を行いました。 |
| 使用した装置 | マルチブラケット装置(デーモンブラケットおよびシルバーワイヤー) ホールディングアーチ トランスパラタルアーチ 筋機能訓練(MFT)は行っていません。 |
| 治療回数 | 27回 |
| 治療期間 | 2年6か月 |
| 抜歯および非抜歯 | 上の左右第一小臼歯、左右第三大臼歯(親知らず) 下の左右第二小臼歯、左右第三大臼歯(親知らず) |
| 費用(保定除く) | 846,180円(税込) |
| リスク・副作用 | 主なものとして、 ・歯の痛み ・虫歯/歯周病 ・口内炎 ・発音障害 ・食事の制限 ・歯肉の退縮(歯茎が下がる) ・知覚過敏 ・歯根吸収(歯の根が短くなる) ・金属やゴムのアレルギーの発症 ・歯髄壊死(歯の神経が死んでしまう) 等のリスクが考えられます。 |
| その他/備考 | 叢生(凸凹した歯並び)の程度の非常に強い患者様でした。 治療途中で妊娠と出産もありましたが、その間の口腔ケアもしっかりと頑張っていただけました。 叢生の程度が強かったこともあり、下の前歯の間にブラックトライアングルという隙間は出ましたが、治療には非常に満足していただけたご様子でした。 |















