札幌市の矯正歯科なら円山さくらぎ矯正歯科
札幌市円山公園駅徒歩1分の矯正歯科医院

    平日11:30〜19:00 土日10:00〜18:00

CASE

上の前歯の前突と下の前歯の凸凹を伴う高校生女子の治療例

  • Before
    上顎前突、下顎前歯叢生を主訴に来院
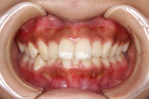
  • After
    矯正歯科治療後です。上顎前突と叢生が改善しました。

治療前

  • 上顎前突と下顎前歯部の叢生を主訴に来院
  • 上顎前突、下顎前歯の叢生が見られます
  • 上顎前突と下顎前歯部叢生が主訴でした
  • 前歯が前方へ突出しています
  • 前歯部の叢生が見られます

治療後

  • マルチブラケット治療後です
  • 叢生と上顎前突が解消しました
  • 上下左右第一小臼歯を抜いて並べました
  • 固定式保定装置が入りました
  • 固定式保定装置が入りました
年齢・性別 16才 女性
主訴 上の前歯が出ている
下の前歯が凸凹している
治療内容 マルチブラケット装置を使用した成人矯正治療を行いました。
使用した装置 マルチブラケット装置(デーモンブラケットおよびホワイトワイヤー)
歯科矯正用アンカースクリュー(2本)
筋機能訓練(MFT)は行っていません。
治療回数 42回
治療期間 3年8か月
抜歯および非抜歯 上の左右第一小臼歯
下の左右第一小臼歯
費用(保定除く) 995,230円(税込)
リスク・副作用 主なものとして、
・歯の痛み
・虫歯/歯周病
・口内炎
・発音障害
・食事の制限
・歯肉の退縮(歯茎が下がる)
・知覚過敏
・歯根吸収(歯の根が短くなる)
・金属やゴムのアレルギーの発症
・歯髄壊死(歯の神経が死んでしまう)
等のリスクが考えられます。
その他/備考 ライブにバイトに旅行にと、とにかくいつも全力で楽しんでいる印象の女の子でした。
歯の動きが遅く、治療の期間が思ったより長くなってしまいました。