過蓋咬合をともなう叢生のハーフの小学生の男性の治療例
-
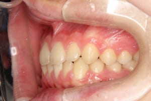
Before
-
After
治療前
治療後
| 年齢・性別 | 8才 男性 |
|---|---|
| 主訴 | 歯並び全体が気になる |
| 治療内容 | 緩徐拡大装置などを使用した子どもの矯正治療を行いました。 |
| 使用した装置 | 上下に緩徐拡大装置 トランスパラタルアーチ リンガルアーチ 部分的なマルチブラケット装置 プレオルソ 筋機能訓練(MFT)は行っていません。 |
| 治療回数 | 26回 |
| 治療期間 | 4年10か月 |
| 抜歯および非抜歯 | 非抜歯 |
| 費用(保定除く) | 480,100円(税込) |
| リスク・副作用 | 主なものとして、 ・歯の痛み ・虫歯/歯周病 ・口内炎 ・発音障害 ・食事の制限 ・歯肉の退縮(歯茎が下がる) ・知覚過敏 ・歯根吸収(歯の根が短くなる) ・金属やゴムのアレルギーの発症 ・歯髄壊死(歯の神経が死んでしまう) 等のリスクが考えられます。 |
| その他/備考 | 歯の並ぶ隙間が足りていませんでしたが、なんとか非抜歯で治療を終えることが出来ました。 治療後半で12才臼歯(親知らずを除いた中で一番奥の歯)がずれて生えてきましたが、それも改善し大人の矯正治療の必要もなくなりました。 |















