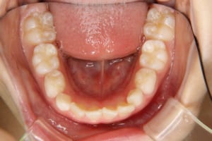
歯列弓の狭窄を伴う上顎前突の小学生男子の治療例
-
Before
-
After
治療前
治療後
| 年齢・性別 | 9才 男性 |
|---|---|
| 主訴 | 上の前歯が出ている 上の前歯が斜めに生えている |
| 治療内容 | 子どもの矯正治療を行いました。 |
| 使用した装置 | 上下に緩徐拡大装置 トランスパラタルアーチ リンガルアーチ ヘッドギアー 部分的なマルチブラケット装置 筋機能訓練(MFT)は行っていません。 |
| 治療回数 | 24回 |
| 治療期間 | 3年3か月 |
| 抜歯および非抜歯 | 非抜歯です。 |
| 費用(保定除く) | 449,430円(税込)※観察期間含む |
| リスク・副作用 | 主なものとして、 ・歯の痛み ・虫歯/歯周病 ・口内炎 ・発音障害 ・食事の制限 ・歯肉の退縮(歯茎が下がる) ・知覚過敏 ・歯根吸収(歯の根が短くなる) ・金属やゴムのアレルギーの発症 ・歯髄壊死(歯の神経が死んでしまう) 等のリスクが考えられます。 |
| その他/備考 | とても元気な男兄弟のいる患者様です。 初めの頃は装置を変形させてしまい急患で来ることがあったので心配していましたが、その後はお兄ちゃんになってしっかりと治療も頑張ってくれました。 |















