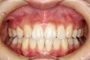
埋伏歯を伴う、叢生の裏側矯正の女性の治療例
-
Before
-
After
治療前
治療後
| 年齢・性別 | 28才 女性 |
|---|---|
| 主訴 | 上の前歯が出ている 乳歯が残っている |
| 治療内容 | 裏側矯正(舌側矯正)を使用した成人矯正治療を行いました。 |
| 使用した装置 | リンガルブラケット ホールディングアーチ付きリンガルアーチ(舌側弧線装置) 歯科矯正用アンカースクリュー(2本) 筋機能訓練(MFT)は行っていません。 |
| 治療回数 | 38回 |
| 治療期間 | 4年7か月 |
| 抜歯および非抜歯 | 上の右側第二小臼歯、左側第一小臼歯、左側第三大臼歯(親知らず) 下の左右第一小臼歯、左右第三大臼歯(親知らず) その他、乳歯(上の右側乳側切歯、右側乳犬歯)を抜歯しました。 |
| 費用(保定除く) | 1,187,800円(税込) |
| リスク・副作用 | 主なものとして、 ・歯の痛み ・虫歯/歯周病 ・口内炎 ・発音障害 ・食事の制限 ・歯肉の退縮(歯茎が下がる) ・知覚過敏 ・歯根吸収(歯の根が短くなる) ・金属やゴムのアレルギーの発症 ・歯髄壊死(歯の神経が死んでしまう) 等のリスクが考えられます。 |
| その他/備考 | 埋伏歯を伴い、裏側矯正による治療を行うという、なかなかハードな症例でした。 また治療途中でご結婚されて遠方(道外)に引っ越したため、来院間隔も空いてしまい、治療期間が長くなってしまいました。 治療自体は大変協力的に頑張っていただき、内容の割には少なめの回数で治療を終えることが出来ました。 いつも明るく、スタッフと楽しく会話をしながら受診していたのが印象的でした。 |















