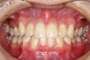
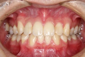
上の前歯の叢生と過蓋咬合、歯の欠損を伴う男子学生の裏側矯正の治療例
-
Before
-
After
治療前
治療後
| 年齢・性別 | 23才 男性 |
|---|---|
| 主訴 | 上の前歯の凸凹が気になる |
| 治療内容 | 裏側矯正(舌側矯正)治療を用いた成人矯正治療を行いました。 |
| 使用した装置 | リンガルブラケット(クリッピーL) 歯科矯正用アンカースクリュー(2本) |
| 治療回数 | 31回 |
| 治療期間 | 3年1か月 |
| 抜歯および非抜歯 | 上の歯:左右第一小臼歯、右の第三大臼歯(親知らず) 下の歯:左の側切歯、左右第三大臼歯(親知らず) |
| 費用(保定除く) | 1,152,050円(税込) |
| リスク・副作用 | 主なものとして、 ・歯の痛み ・虫歯/歯周病 ・口内炎 ・発音障害 ・食事の制限 ・歯肉の退縮(歯茎が下がる) ・知覚過敏 ・歯根吸収(歯の根が短くなる) ・金属やゴムのアレルギーの発症 ・歯髄壊死(歯の神経が死んでしまう) 等のリスクが考えられます。 |
| その他/備考 | 治療途中で下唇を咬む癖が出てしまい上の前歯が大きく前に出てしまいました。 そこからは患者様のご協力もあり、無事に治療を終えることが出来ました。 |















