札幌市の矯正歯科なら円山さくらぎ矯正歯科
札幌市円山公園駅徒歩1分の矯正歯科医院

    平日11:30〜19:00 土日10:00〜18:00

CASE

舌側矯正で治療をした、咬む力の強い上下顎前突の治療例

  • Before
    上顎の前歯の突出、下顎前歯の叢生があります。
  • After
    矯正歯科治療後です。正面観。

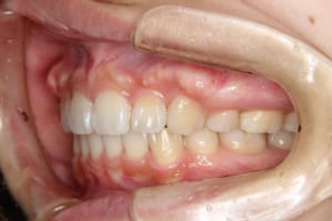
治療前

  • 矯正歯科治療前の右側面です。
  • 上顎の前歯の突出、下顎前歯の叢生があります。
  • 矯正歯科治療前の左側面です。
  • 矯正歯科治療前の上顎です。
  • 右下の側切歯が舌側に入っています。

治療後

  • 矯正歯科治療後です。右側面観です。
  • 矯正歯科治療後です。正面観。
  • 矯正治療後の左側面です。舌側矯正治療です。
  • 矯正治療後です。舌側矯正治療(小臼歯抜歯)です。
  • 矯正治療後です。舌側矯正治療(小臼歯抜歯)です。
年齢・性別 23才 女性
主訴 上の前歯が出ている
治療内容 舌側(裏側)矯正治療を用いた成人矯正治療を行いました。
使用した装置 リンガルブラケット(クリッピーL)
歯科矯正用アンカースクリュー(2本)
治療回数 22回
治療期間 3年0か月
抜歯および非抜歯 上の歯:左右第一小臼歯、右の第三大臼歯(親知らず)
下の歯:左右第一小臼歯、左右第三大臼歯(親知らず)
費用(保定除く) 1,106,680円(税込)
リスク・副作用 主なものとして、
・歯の痛み
・虫歯/歯周病
・口内炎
・発音障害
・食事の制限
・歯肉の退縮(歯茎が下がる)
・知覚過敏
・歯根吸収(歯の根が短くなる)
・金属やゴムのアレルギーの発症
・歯髄壊死(歯の神経が死んでしまう)
等のリスクが考えられます。
その他/備考 来院間隔が空いた為に治療期間がやや長くなりましたが、少ない治療回数で治療を終えることが出来ました。
ご本人が気にしていた口元も引っ込み、大変満足していていただけました。