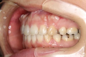
出っ歯が気になり治療を開始した30才前後の女性の治療例
-
Before
-
After
治療前
治療中
治療後
| 年齢・性別 | 29才 女性 |
|---|---|
| 主訴 | 上の前歯が出ている |
| 治療内容 | マルチブラケット装置を使用した成人矯正治療(舌側矯正)を行いまいした。 |
| 使用した装置 | 舌側矯正 Clippy-Lブラケット 歯科矯正用アンカースクリュー(2本) |
| 治療回数 | 33回 |
| 治療期間 | 2年7か月 |
| 抜歯および非抜歯 | 上:両側第一小臼歯 下:両側第一小臼歯 親知らず:3本(右上、左下、右下) |
| 費用(保定除く) | 1,158,100円(税込) |
| リスク・副作用 | 主なものとして、 ・歯の痛み ・虫歯/歯周病 ・口内炎 ・発音障害 ・食事の制限 ・歯肉の退縮(歯茎が下がる) ・知覚過敏 ・歯根吸収(歯の根が短くなる) ・金属やゴムのアレルギーの発症 ・歯髄壊死(歯の神経が死んでしまう) 等のリスクが考えられます。 |
| その他/備考 | しっかりと通っていただき、問題なく治療を終えることができました。 |




















