札幌市の矯正歯科なら円山さくらぎ矯正歯科
札幌市円山公園駅徒歩1分の矯正歯科医院

    平日11:30〜19:00 土日10:00〜18:00

CASE

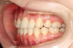
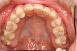
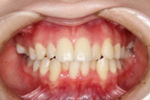
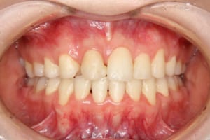
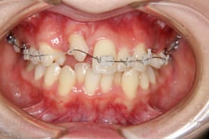
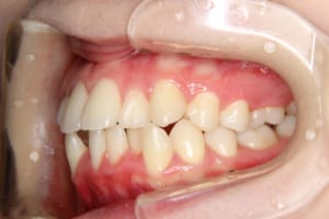
埋伏していた上顎犬歯によって上の前歯の歯根が吸収を伴っていたケースの治療例

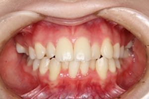
  • Before
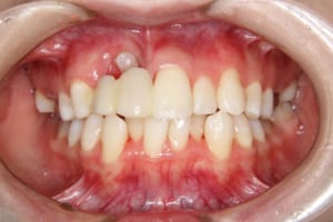
  • After

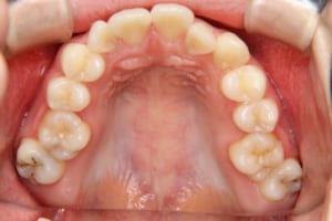
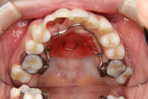
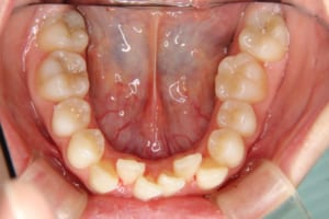
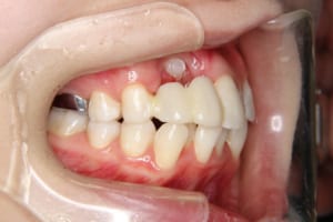
治療前

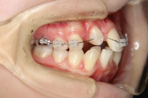
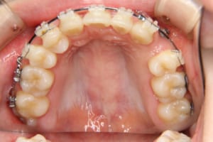
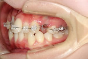
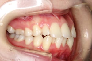
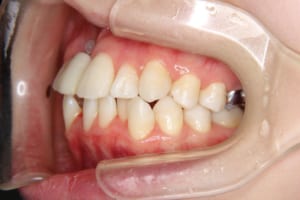
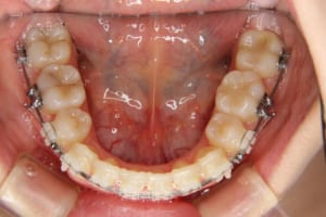
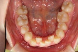
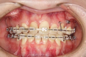
治療中

治療中

治療中

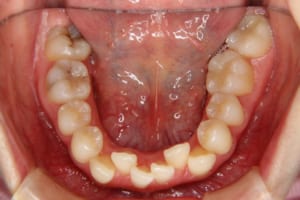
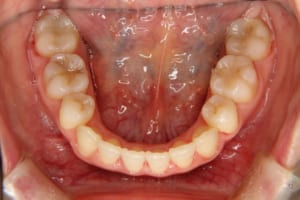
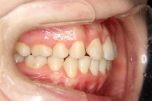
治療後

年齢・性別 19才 女性
主訴 下の歯の凸凹
上の前歯が出ているのが気になる
治療内容 唇側矯正装置を使用した成人矯正治療を行いました。
使用した装置 マルチブラケット装置(唇側矯正)
  InVuブラケット
  シルバーワイヤー
ホールディングアーチ
歯科矯正用アンカースクリュー(1本)
治療回数 45回
治療期間 4年6か月
抜歯および非抜歯 上顎:右側中切歯、右側側切歯、左側第一小臼歯
下顎:両側第一小臼歯
費用(保定除く) 889,550円(税込)
リスク・副作用 主なものとして、
・歯の痛み
・虫歯/歯周病
・口内炎
・発音障害
・食事の制限
・歯肉の退縮(歯茎が下がる)
・知覚過敏
・歯根吸収(歯の根が短くなる)
・金属やゴムのアレルギーの発症
・歯髄壊死(歯の神経が死んでしまう)
等のリスクが考えられます。
その他/備考 上顎右側中切歯および側切歯が、埋伏していた犬歯によって歯根吸収していました。
牽引に半年かかりました。
顎間ゴムも頑張ってくれたが期間がかかりました。
いずれ牽引した犬歯の再度の補綴処置を予定しています。