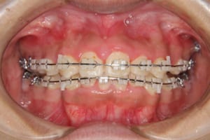
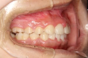
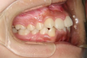
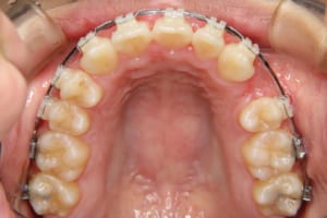
抜歯を伴う矯正治療を行った10代の女性患者様の矯正治療例
-
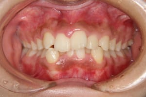
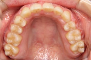
Before
-
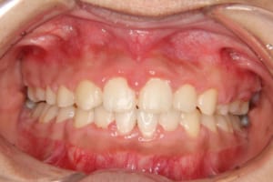
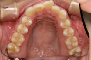
After
治療前
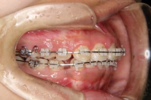
治療中
治療後
| 年齢・性別 | 19才 女性 |
|---|---|
| 主訴 | 前歯、全体のガタガタが気になる |
| 治療内容 | マルチブラケット装置を用いた成人矯正治療を行いました。 |
| 使用した装置 | マルチブラケット装置 InVuブラケット シルバーワイヤー 歯科矯正用アンカースクリュー(1本) |
| 治療回数 | 18回 |
| 治療期間 | 1年9か月 |
| 抜歯および非抜歯 | 上顎:左側第一小臼歯、両側第三大臼歯 下顎:両側第一小臼歯 |
| 費用(保定除く) | 768,700円(税込) |
| リスク・副作用 | 主なものとして、 ・歯の痛み ・虫歯/歯周病 ・口内炎 ・発音障害 ・食事の制限 ・歯肉の退縮(歯茎が下がる) ・知覚過敏 ・歯根吸収(歯の根が短くなる) ・金属やゴムのアレルギーの発症 ・歯髄壊死(歯の神経が死んでしまう) 等のリスクが考えられます。 |
| その他/備考 | 歯磨きの不良や治療中のゴムがけが短かった部分もありましたが、無事に虫歯もなく矯正治療を終えることができました。 治療後の写真は歯茎の腫れが認められますが、その後はそれも落ち着き良好な状態を保っています。 |




















