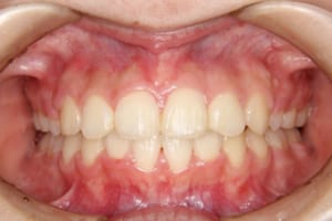
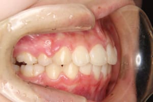
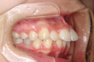
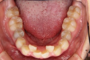
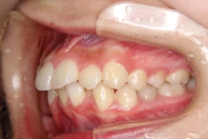
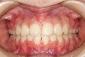
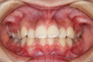
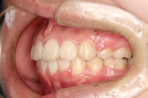
道北から通院していただいた凸凹した歯並びの女子高校生の治療例
-
Before
-
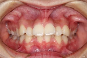
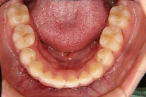
After
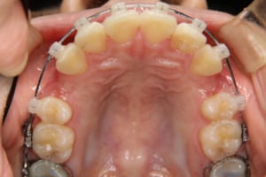
治療前
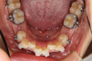
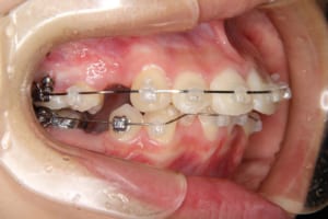
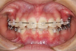
治療中
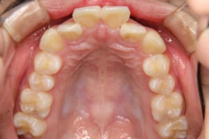
治療後
| 年齢・性別 | 17才 女性 |
|---|---|
| 主訴 | 上の前歯が出ている 下の前歯が凸凹 |
| 治療内容 | マルチブラケット装置を用いた成人矯正治療を行いました。 |
| 使用した装置 | マルチブラケット装置 デーモンブラケット シルバーワイヤー 歯科矯正用アンカースクリュー(2本) トランスパラタルアーチ |
| 治療回数 | 21回 |
| 治療期間 | 2年0か月 |
| 抜歯および非抜歯 | 上顎:両側第一小臼歯 下顎:両側第二小臼歯 |
| 費用(保定除く) | 817,040円(税込) |
| リスク・副作用 | 主なものとして、 ・歯の痛み ・虫歯/歯周病 ・口内炎 ・発音障害 ・食事の制限 ・歯肉の退縮(歯茎が下がる) ・知覚過敏 ・歯根吸収(歯の根が短くなる) ・金属やゴムのアレルギーの発症 ・歯髄壊死(歯の神経が死んでしまう) 等のリスクが考えられます。 |
| その他/備考 | 非常に遠方から治療に通っていただいた方です。 急患対応が極力減るように、また期間を短く終えることを主眼に置いて治療を行いました。 以前お姉さんも矯正治療しており、それをみて当院での治療を希望し来院していただきました。 |




















