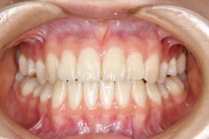
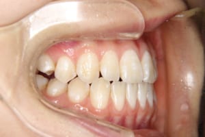
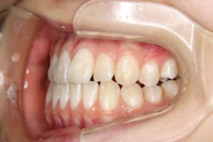
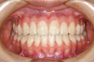
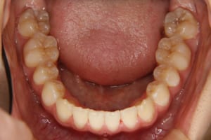
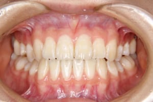
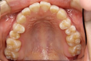
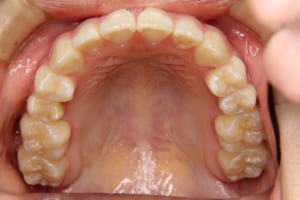
咬めない奥歯や、しっかりと咬めない左のかみ合わせを改善した10代女子の治療例
-
Before
-
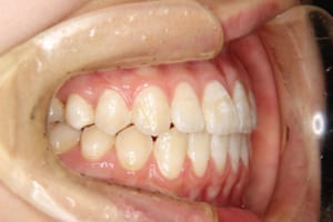
After
治療前
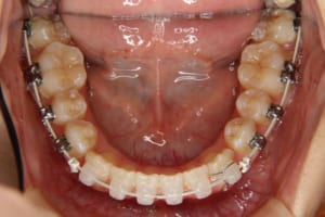
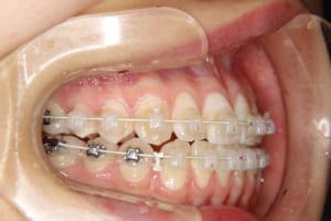
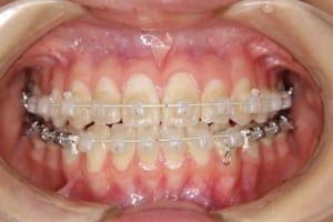
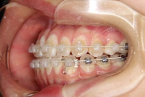
治療中
治療後
| 年齢・性別 | 15才 女性 |
|---|---|
| 主訴 | 右上と全体のかみ合わせ |
| 治療内容 | マルチブラケット装置を用いたワイヤー矯正治療を行いました。 |
| 使用した装置 | マルチブラケット装置 デーモンブラケット ホワイトワイヤー |
| 治療回数 | 11回 |
| 治療期間 | 1年1か月 |
| 抜歯および非抜歯 | 非抜歯 |
| 費用(保定除く) | 847,510円(税込) |
| リスク・副作用 | 主なものとして、 ・歯の痛み ・虫歯/歯周病 ・口内炎 ・発音障害 ・食事の制限 ・歯肉の退縮(歯茎が下がる) ・知覚過敏 ・歯根吸収(歯の根が短くなる) ・金属やゴムのアレルギーの発症 ・歯髄壊死(歯の神経が死んでしまう) 等のリスクが考えられます。 |
| その他/備考 | 右上の奥の歯がうまくかむことができず、また左の上下の歯のずれがあったことから治療を行うことになりました。 治療後、うまく咬むことのできなかった右の奥歯はしっかりと咬むことができ、また左の歯並びは上下の歯が交互に咬む「1歯対2歯」の咬合となり、大変満足していただけました。 |




















