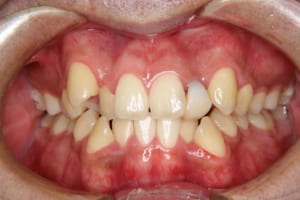
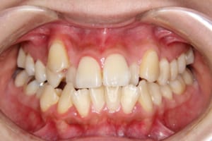
叢生(八重歯、乱杭歯)の治療例一覧
-
裏側矯正で非抜歯治療を行った反対咬合の治療例
23才 女性 -
短期間で治療を終えた、抜歯を伴う唇側矯正の治療例
21才 女性 -
舌側矯正で治療をした、咬む力の強い上下顎前突の治療例
23才 女性 -
上の前歯の叢生と過蓋咬合、歯の欠損を伴う男子学生の裏側矯正の治療例
23才 男性 -
深めの咬み合わせを裏側矯正で治療した20代女子の治療例
29才 女性 -
八重歯が気になる女子学生の治療例
21才 女性 -
歯の移動が極端に遅く治療期間が長くなった抜歯矯正の治療例
26才 男性 -
過蓋咬合と叢生を伴う裏側矯正による治療例
23才 女性 -
著しい叢生と過蓋咬合、偏位を伴う治療例
42才 女性 -
口元が出ている叢生の治療例
14才 女性 -
他院で抜歯矯正治療した人のやりなおしの矯正治療例
28才 女性 -
骨格性の下顎前突で、上の2本の歯が内側に入り込んでいる叢生の治療例
18才 女性 -
歯の先天欠損を伴う叢生のリンガル矯正の治療例
19才 女性 -
埋伏歯を伴う、叢生の裏側矯正の女性の治療例
28才 女性 -
舌側矯正で治療した開咬と上下顎前突の治療例
24才 女性 -
上顎前突と過蓋咬合を伴う叢生の高校生の治療例
17才 女性 -
転勤を予定している、過蓋咬合を伴う叢生の20代女性
24才 女性 -
八重歯を伴う叢生と骨格性の下顎前突の20代半ばの女性の治療例
25才 女性 -
わずかな開咬を伴う著しい叢生の女性の治療例
24才 女性 -
上の前歯の前突と下の前歯の凸凹を伴う高校生女子の治療例
16才 女性

























