下顎を片側抜歯するこで治療した中学生の治療例
-
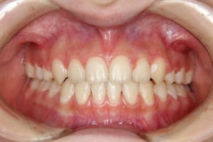
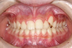
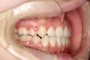
Before
-
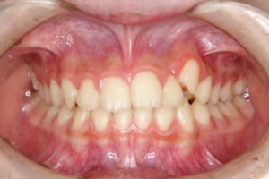
After
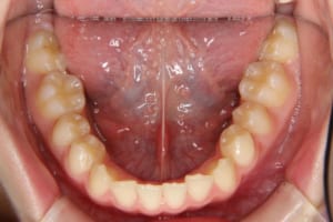
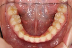
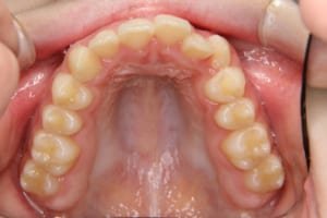
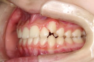
治療前
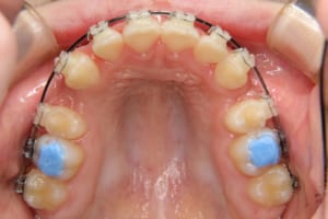
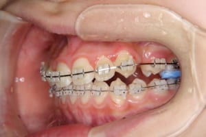
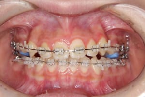
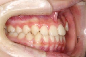
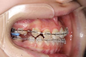
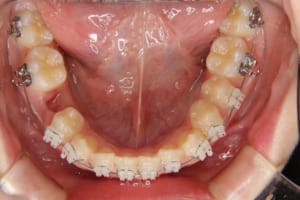
治療中
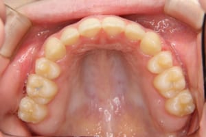
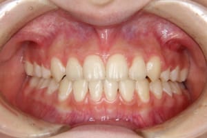
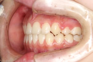
治療後
| 年齢・性別 | 13才 女性 |
|---|---|
| 主訴 | 左上の歯が上から生えてきている イ段の発音が未熟である |
| 治療内容 | マルチブラケット装置を用いた成人矯正治療を行いました。 |
| 使用した装置 | マルチブラケット装置 インビューブラケット シルバーワイヤー |
| 治療回数 | 25回 |
| 治療期間 | 2年0か月 |
| 抜歯および非抜歯 | 上:両側第一小臼歯 下:右側第二小臼歯 |
| 費用(保定除く) | 787,240円(税込) |
| リスク・副作用 | 主なものとして、 ・歯の痛み ・虫歯/歯周病 ・口内炎 ・発音障害 ・食事の制限 ・歯肉の退縮(歯茎が下がる) ・知覚過敏 ・歯根吸収(歯の根が短くなる) ・金属やゴムのアレルギーの発症 ・歯髄壊死(歯の神経が死んでしまう) 等のリスクが考えられます。 |
| その他/備考 | 下の歯を右側だけ抜歯するという片側抜歯の治療例です。 通常の抜歯のケースよりも抜歯の隙間をバランスよく閉じるための難易度が高いのですが、治療にも協力的に頑張ってくれたことで短い期間で治療を終えることができました。 |




















