歯の移動が極端に遅く治療期間が長くなった抜歯矯正の治療例
-
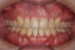
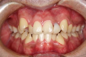
Before
-
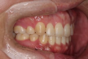
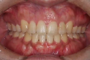
After
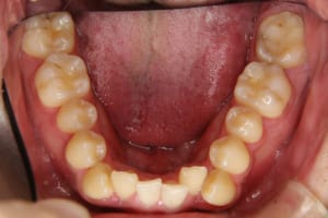
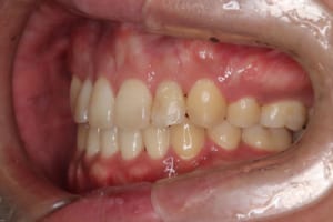
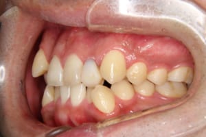
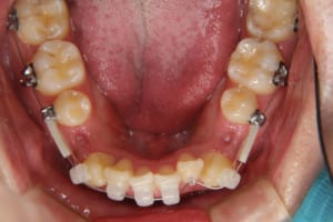
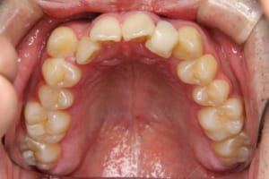
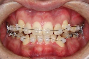
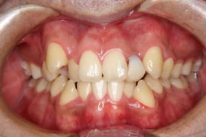
治療前
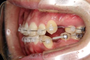
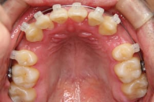
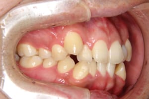
治療中
治療後
| 年齢・性別 | 26才 男性 |
|---|---|
| 主訴 | 左下の犬歯の部分 全体的に悪いところが気になる |
| 治療内容 | マルチブラケット装置を用いた成人矯正治療を行いました。 |
| 使用した装置 | マルチブラケット装置 デーモンブラケット シルバーワイヤー 歯科矯正用アンカースクリュー(1本) |
| 治療回数 | 50回 |
| 治療期間 | 4年9か月 |
| 抜歯および非抜歯 | 上顎:両側第一小臼歯 下顎:両側第一小臼歯 |
| 費用(保定除く) | 976,750円(税込) |
| リスク・副作用 | 主なものとして、 ・歯の痛み ・虫歯/歯周病 ・口内炎 ・発音障害 ・食事の制限 ・歯肉の退縮(歯茎が下がる) ・知覚過敏 ・歯根吸収(歯の根が短くなる) ・金属やゴムのアレルギーの発症 ・歯髄壊死(歯の神経が死んでしまう) 等のリスクが考えられます。 |
| その他/備考 | 歯の移動するスピードは個人差が非常に大きく、この患者様は動きが遅かったため非常に治療期間が長くなってしまいました。 その間もあきらめずに通院していただき、最後は無事に治療を終えることができました。 ありがとうございます。 |




















