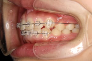
受け口になりそうな小学生の女の子の治療例
-
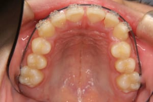
Before
-
After
治療前
治療中
治療後
| 年齢・性別 | 7才 女性 |
|---|---|
| 主訴 | 下の前歯が気になる |
| 治療内容 | 顎の成長や歯の交換を利用した子供の矯正治療を行いました。 |
| 使用した装置 | 拡大床 マルチブラケット装置(上下の前歯) |
| 治療回数 | 15回 |
| 治療期間 | 2年1か月(観察期間を除く) |
| 抜歯および非抜歯 | 非抜歯 |
| 費用(保定除く) | 448,400円(税込) |
| リスク・副作用 | 主なものとして、 ・歯の痛み ・虫歯/歯周病 ・口内炎 ・発音障害 ・食事の制限 ・歯肉の退縮(歯茎が下がる) ・知覚過敏 ・歯根吸収(歯の根が短くなる) ・金属やゴムのアレルギーの発症 ・歯髄壊死(歯の神経が死んでしまう) 等のリスクが考えられます。 |
| その他/備考 | 歯の並ぶ隙間が足りず、反対咬合にもなる可能性があったケースです。 適切な時期に適切な処置を行うことで、比較的短い期間で治療を終えることができました。 |




















