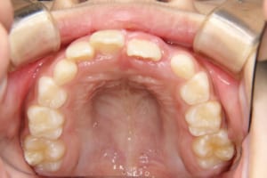
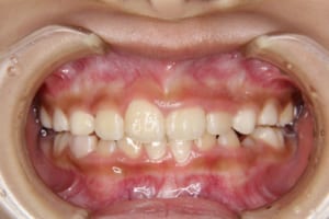
前歯のクロスバイト(部分的に前歯のかみ合わせが逆になっている)を伴う小学生の女の子の治療例
-
Before
-
After
治療前
治療中
治療後
| 年齢・性別 | 8才 女性 |
|---|---|
| 主訴 | 上の歯が後ろに引っ込んでいる |
| 治療内容 | 顎の成長を利用して子供の矯正治療を行いました |
| 使用した装置 | 舌側弧線装置(リンガルアーチ) スライディングアーチ 緩徐拡大装置 |
| 治療回数 | 10回 |
| 治療期間 | 1年3か月 |
| 抜歯および非抜歯 | 非抜歯 |
| 費用(保定除く) | 405,000円(税込) |
| リスク・副作用 | 主なものとして、 ・歯の痛み ・虫歯/歯周病 ・口内炎 ・発音障害 ・食事の制限 ・歯肉の退縮(歯茎が下がる) ・知覚過敏 ・歯根吸収(歯の根が短くなる) ・金属やゴムのアレルギーの発症 ・歯髄壊死(歯の神経が死んでしまう) 等のリスクが考えられます。 |
| その他/備考 | 少ない回数、短期間で矯正治療を終えることができ、大変満足していただけました。 治療後、親御さんも矯正治療を希望され治療を開始しました。 |




















