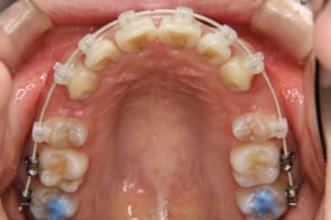
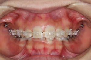
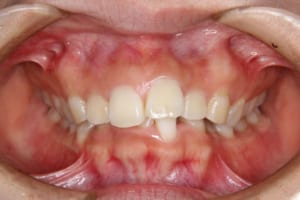
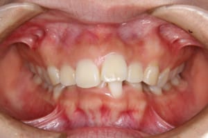
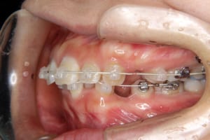
上の前歯を引っ込めるために歯科矯正用アンカースクリューを使用した治療例
-
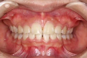
Before
-
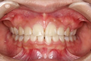
After
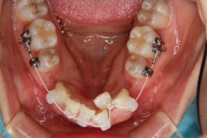
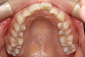
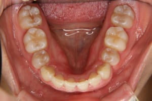
治療前
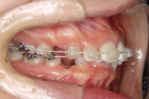
治療中
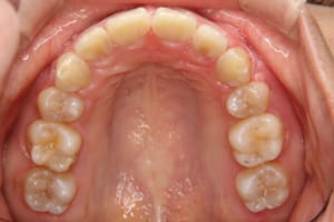
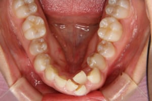
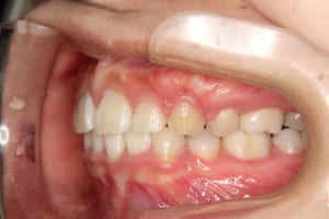
治療後
| 年齢・性別 | 24才 女性 |
|---|---|
| 主訴 | 上の前歯が出てガタガタしている 下の前歯がガタガタしている 前歯で咬みにくい |
| 治療内容 | マルチブラケット装置を用いたワイヤー矯正治療を行いました。 |
| 使用した装置 | マルチブラケット装置 デーモンブラケット ホワイトワイヤー 歯科矯正用アンカースクリュー(2本) |
| 治療回数 | 31回 |
| 治療期間 | 2年9か月 |
| 抜歯および非抜歯 | 上顎:両側第一小臼歯 下顎:両側第一小臼歯 |
| 費用(保定除く) | 962,250円(税込) |
| リスク・副作用 | 主なものとして、 ・歯の痛み ・虫歯/歯周病 ・口内炎 ・発音障害 ・食事の制限 ・歯肉の退縮(歯茎が下がる) ・知覚過敏 ・歯根吸収(歯の根が短くなる) ・金属やゴムのアレルギーの発症 ・歯髄壊死(歯の神経が死んでしまう) 等のリスクが考えられます。 |
| その他/備考 | 叢生の他にかみ合わせの深い過蓋咬合でもありましたが、平均的な期間で治療を終えることができました。 保定期間中入り、転居に伴って転院しました。 |




















