骨格的な下顎前突を改善しながら正中離開を閉じた男の子の治療例
-
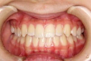
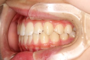
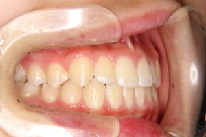
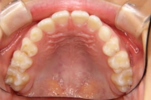
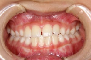
Before
-
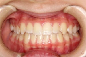
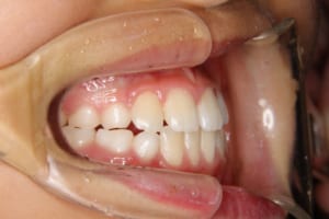
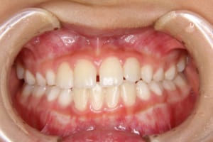
After
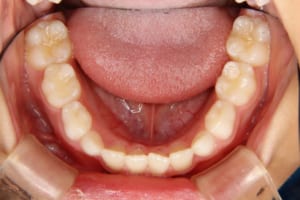
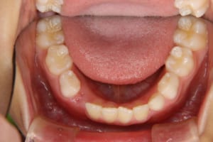
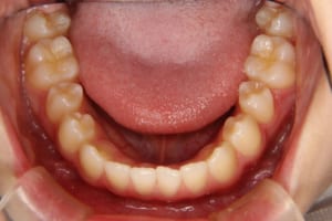
治療前
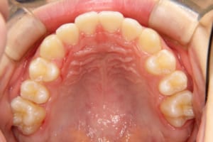
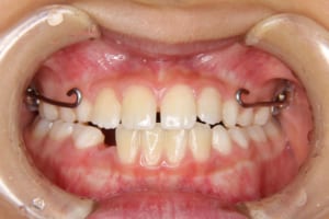
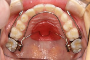
治療中
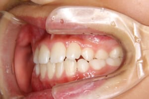
治療後
| 年齢・性別 | 8才 男性 |
|---|---|
| 主訴 | 八重歯になるのが心配 舌小帯が短いと言われたことがあり気になる |
| 治療内容 | 歯の交換や顎の成長を利用して子供の矯正治療を行いました。 |
| 使用した装置 | 上顎前方牽引装置 リンガルアーチ |
| 治療回数 | 6回 |
| 治療期間 | 1年0か月(観察期間を除く) |
| 抜歯および非抜歯 | 非抜歯 |
| 費用(保定除く) | 444,490円(税込) |
| リスク・副作用 | 主なものとして、 ・歯の痛み ・虫歯/歯周病 ・口内炎 ・発音障害 ・食事の制限 ・歯肉の退縮(歯茎が下がる) ・知覚過敏 ・歯根吸収(歯の根が短くなる) ・金属やゴムのアレルギーの発症 ・歯髄壊死(歯の神経が死んでしまう) 等のリスクが考えられます。 |
| その他/備考 | 骨格的な下顎前突および上の前歯の正中離開を同時に治療したケースです。 その後しばらくの間舌側弧線装置を使用して歯の交換や顎の成長を見守りました。 |




















