歯並び全体を気にしていた女子大学生の治療例
-
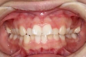
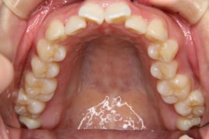
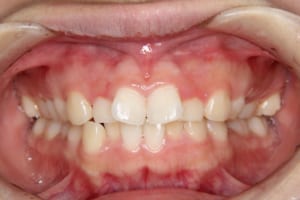
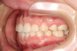
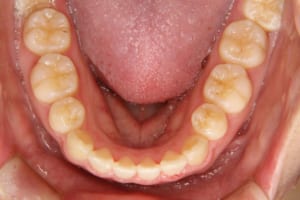
Before
-
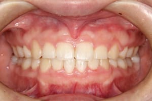
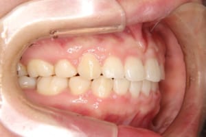
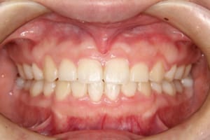
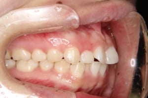
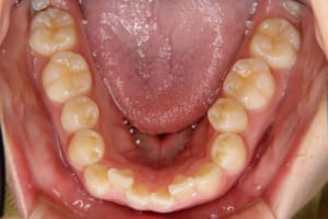
After
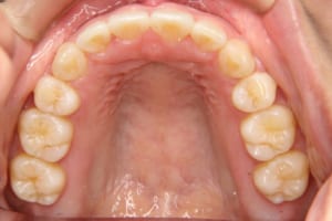
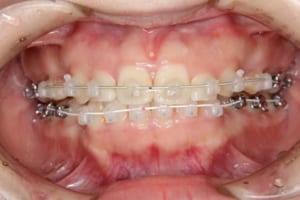
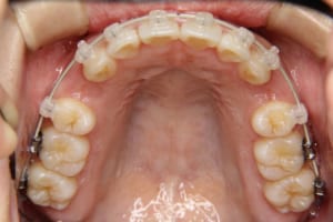
治療前
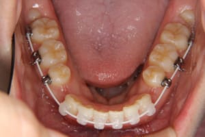
治療中
治療後
| 年齢・性別 | 21才 女性 |
|---|---|
| 主訴 | 口を開いたときに見える歯すべてが気になる |
| 治療内容 | マルチブラケット装置を使用した成人矯正治療を行いました。 |
| 使用した装置 | マルチブラケット装置 デーモンブラケット ホワイトワイヤー 歯科矯正用アンカースクリュー(2本) |
| 治療回数 | 25回 |
| 治療期間 | 2年3か月 |
| 抜歯および非抜歯 | 上顎:両側第一小臼歯 下顎:両側第一小臼歯 |
| 費用(保定除く) | 948,270円(税込) |
| リスク・副作用 | 主なものとして、 ・歯の痛み ・虫歯/歯周病 ・口内炎 ・発音障害 ・食事の制限 ・歯肉の退縮(歯茎が下がる) ・知覚過敏 ・歯根吸収(歯の根が短くなる) ・金属やゴムのアレルギーの発症 ・歯髄壊死(歯の神経が死んでしまう) 等のリスクが考えられます。 |
| その他/備考 | デコボコした歯並びおよび口元を引っ込める治療を行いました。 しっかりと通院していただき、2年ほどの期間で治療を終えることができました。 |




















