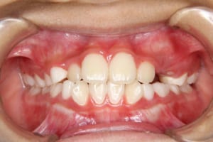
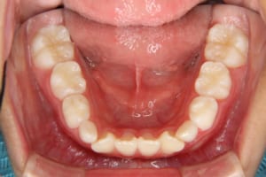
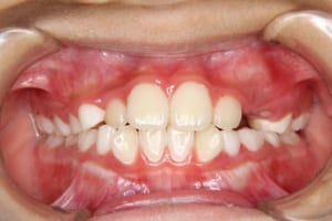
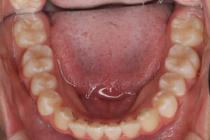
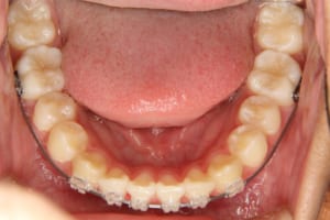
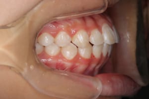
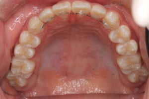
叢生が前期治療だけで終わった小学生中学年の女子の治療例
-
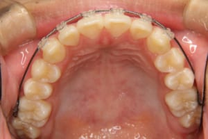
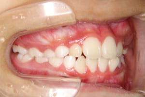
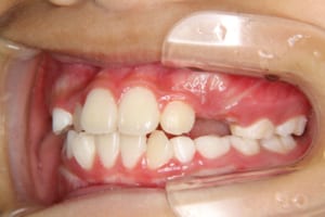
Before
-
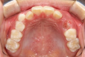
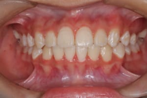
After
治療前
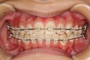
治療中
治療後
| 年齢・性別 | 8才 女性 |
|---|---|
| 主訴 | 左上の犬歯が生えてこない 下の前歯がねじれている |
| 治療内容 | 歯の交換や顎の成長を利用して子供の矯正治療を行いました。 |
| 使用した装置 | 緩徐拡大装置 舌側弧線装置(リンガルアーチ) ヘッドギアー 部分的なマルチブラケット装置(2×4) |
| 治療回数 | 29回 |
| 治療期間 | 5年3か月 |
| 抜歯および非抜歯 | 非抜歯 |
| 費用(保定除く) | 400,840円(税込) |
| リスク・副作用 | 主なものとして、 ・歯の痛み ・虫歯/歯周病 ・口内炎 ・発音障害 ・食事の制限 ・歯肉の退縮(歯茎が下がる) ・知覚過敏 ・歯根吸収(歯の根が短くなる) ・金属やゴムのアレルギーの発症 ・歯髄壊死(歯の神経が死んでしまう) 等のリスクが考えられます。 |
| その他/備考 | 歯が大きく叢生でしたが、ぎりぎり非抜歯で子供の矯正治療で治すことができました。 ご兄弟(姉妹)3人で通ってくれていました。 |




















