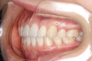
お口が大きく開けるのが困難な裏側矯正治療の治療例
-
Before
-
After
治療前
治療中
治療後
| 年齢・性別 | 16才 女性 |
|---|---|
| 主訴 | 上の前歯が出ている 下の前歯がデコボコ |
| 治療内容 | 舌側矯正治療(裏側矯正治療)を用いた成人矯正治療を行いました。 |
| 使用した装置 | マルチブラケット装置(舌側矯正装置) クリッピーLブラケット シルバーワイヤー 歯科矯正用アンカースクリュー(2本) |
| 治療回数 | 31回 |
| 治療期間 | 2年4か月 |
| 抜歯および非抜歯 | 上顎:両側第一小臼歯 下顎:両側第一小臼歯 |
| 費用(保定除く) | 1,153,260円(税込) |
| リスク・副作用 | 主なものとして、 ・歯の痛み ・虫歯/歯周病 ・口内炎 ・発音障害 ・食事の制限 ・歯肉の退縮(歯茎が下がる) ・知覚過敏 ・歯根吸収(歯の根が短くなる) ・金属やゴムのアレルギーの発症 ・歯髄壊死(歯の神経が死んでしまう) 等のリスクが考えられます。 |
| その他/備考 | 口の開く大きさ(開口量)が小さく、そういった意味ではなかなか大変な治療でしたが、無事しっかりとしたかみ合わせ、きれいな歯並びになりました。 保定治療中に道外の大学に進学され、それに伴い転院しました。 しかし、やはり当院に受診したいというご希望があり、帰省時に来院していただき歯並びのチェックをさせていただくことになりました。 |




















