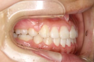
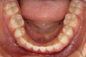
かなり上の方から八重歯が生えてきた中学生の治療例
-
Before
-
After
治療前
治療中
治療後
| 年齢・性別 | 12才 女性 |
|---|---|
| 主訴 | 左上の歯がずれて生えてきている 右上の歯がうまく生えてきていない |
| 治療内容 | ワイヤー矯正を用いた成人矯正治療を行いました。 |
| 使用した装置 | マルチブラケット装置 エンパワーブラケット シルバーワイヤー 歯科矯正用アンカースクリュー(1本) |
| 治療回数 | 15回 |
| 治療期間 | 1年8か月 |
| 抜歯および非抜歯 | 上顎:両側第一小臼歯 下顎:右側第二小臼歯 |
| 費用(保定除く) | 775,010円(税込) |
| リスク・副作用 | 主なものとして、 ・歯の痛み ・虫歯/歯周病 ・口内炎 ・発音障害 ・食事の制限 ・歯肉の退縮(歯茎が下がる) ・知覚過敏 ・歯根吸収(歯の根が短くなる) ・金属やゴムのアレルギーの発症 ・歯髄壊死(歯の神経が死んでしまう) 等のリスクが考えられます。 |
| その他/備考 | 下の歯を右側だけ抜くという、ややレアな治療を行いました。 左右のバランスが変えて治療する分、しっかりとした計画と経験が必要になります。 歯の移動速度が速く、15回という少ない回数で治療を終えることができました。 |




















