早期にワイヤー矯正を始めた小学生高学年女子の治療例
-
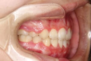
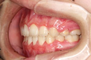
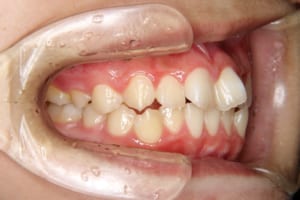
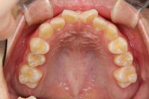
Before
-
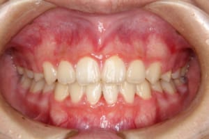
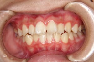
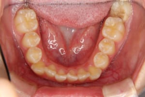
After
治療前
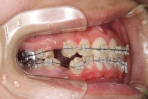
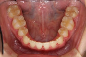
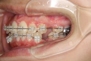
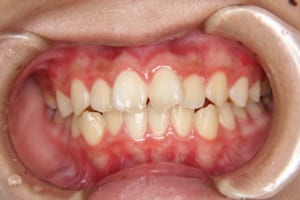
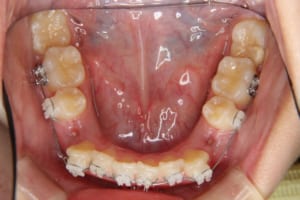
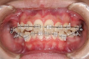
治療中
治療後
| 年齢・性別 | 11才 女性 |
|---|---|
| 主訴 | 前歯の凸凹が気になる |
| 治療内容 | 唇側矯正装置を使用した成人矯正治療を行いました。 |
| 使用した装置 | マルチブラケット装置(唇側矯正) InVuブラケット シルバーワイヤー ホールディングアーチ |
| 治療回数 | 16回 |
| 治療期間 | 1年5か月 |
| 抜歯および非抜歯 | 上顎:両側第一小臼歯 下顎:両側第一小臼歯 |
| 費用(保定除く) | 765,970円(税込) |
| リスク・副作用 | 主なものとして、 ・歯の痛み ・虫歯/歯周病 ・口内炎 ・発音障害 ・食事の制限 ・歯肉の退縮(歯茎が下がる) ・知覚過敏 ・歯根吸収(歯の根が短くなる) ・金属やゴムのアレルギーの発症 ・歯髄壊死(歯の神経が死んでしまう) 等のリスクが考えられます。 |
| その他/備考 | 歯の交換や顎の成長が早期に終了していると考えられたため、通常女性の場合13,14才から始めるマルチブラケット装置を用いたワイヤー矯正を11才から開始しました。 |




















