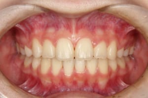
早期に後期治療に移行した、小学生高学年の女子の治療例
-
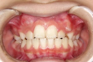
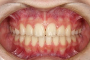
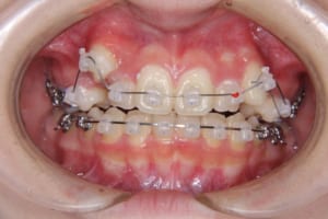
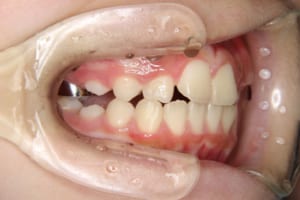
Before
-
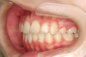
After
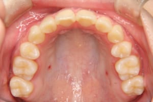
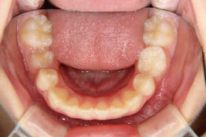
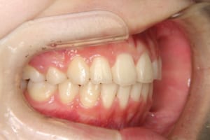
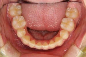
治療前
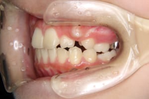
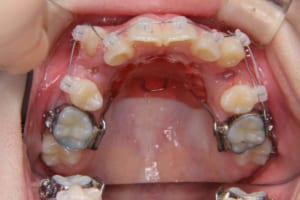
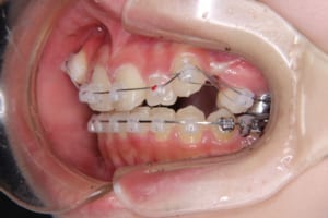
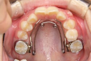
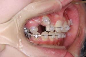
治療中
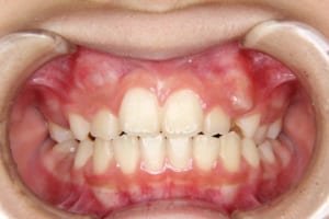
治療中
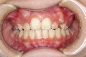
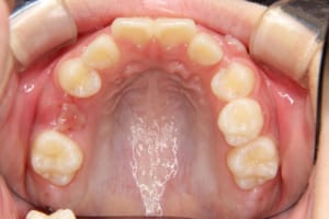
治療後
| 年齢・性別 | 11才 女性 |
|---|---|
| 主訴 | 八重歯の生え方が気になる |
| 治療内容 | 子どもの矯正治療(前期治療) マルチブラケット装置を使用した大人の矯正治療(後期治療/成人矯正治療)を行いました。 |
| 使用した装置 | 子どもの矯正治療(前期治療) 緩徐拡大装置 マルチブラケット装置 大人の矯正治療(後期治療/成人矯正治療) マルチブラケット装置 デーモンブラケット シルバーワイヤー 歯科矯正用アンカースクリュー(2本) ホールディングアーチ トランスパラタルアーチ |
| 治療回数 | 子どもの矯正治療:16回 大人の矯正治療:25回 |
| 治療期間 | 子どもの矯正治療:2年1か月 大人の矯正治療:2年4か月 |
| 抜歯および非抜歯 | 上顎:両側第一小臼歯 下顎:右側第二小臼歯 先天欠如:下顎左側第二小臼歯 乳歯:下顎左側第二乳臼歯 |
| 費用(保定除く) | 987,670円(税込) |
| リスク・副作用 | 主なものとして、 ・歯の痛み ・虫歯/歯周病 ・口内炎 ・発音障害 ・食事の制限 ・歯肉の退縮(歯茎が下がる) ・知覚過敏 ・歯根吸収(歯の根が短くなる) ・金属やゴムのアレルギーの発症 ・歯髄壊死(歯の神経が死んでしまう) 等のリスクが考えられます。 |
| その他/備考 | 上の犬歯が生えるためのスペースが全くない状態でした。放置すると重度の八重歯になることが想定されるケースです。 今回はあごの成長も利用しながら治療をするために、早めに後期治療(大人の矯正治療)に移行しました。 治療後レントゲン写真を見たところ、上顎前歯に若干の歯根吸収を認めました。 |

























