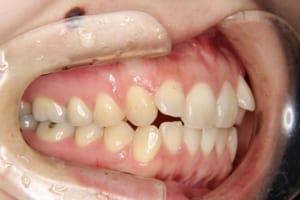
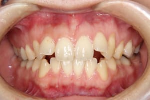
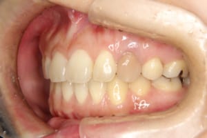
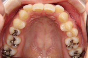
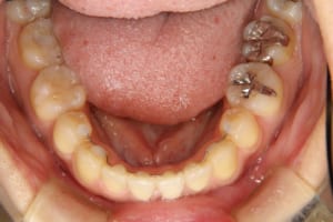
上の前歯が2本飛び出ていることを気にして来院された方の治療例
-
Before
-
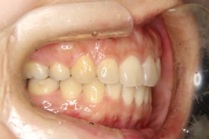
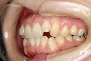
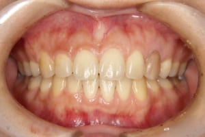
After
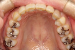
治療前
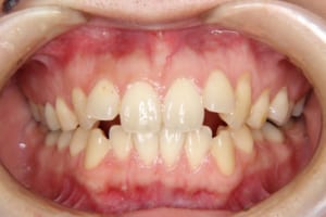
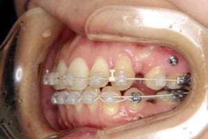
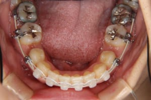
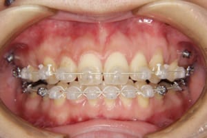
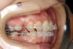
治療中
治療後
| 年齢・性別 | 27才 女性 |
|---|---|
| 主訴 | 前歯が飛び出している 下の顎がずれている |
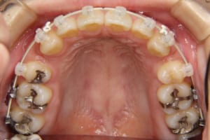
| 治療内容 | マルチブラケット装置を用いたワイヤー矯正治療を行いました。 |
| 使用した装置 | マルチブラケット装置 デーモンブラケット ホワイトワイヤー 歯科矯正用アンカースクリュー(2本) |
| 治療回数 | 27回 |
| 治療期間 | 2年6か月 |
| 抜歯および非抜歯 | 上顎:両側第一小臼歯 下顎:両側第二小臼歯 |
| 費用(保定除く) | 938,200円(税込) |
| リスク・副作用 | 主なものとして、 ・歯の痛み ・虫歯/歯周病 ・口内炎 ・発音障害 ・食事の制限 ・歯肉の退縮(歯茎が下がる) ・知覚過敏 ・歯根吸収(歯の根が短くなる) ・金属やゴムのアレルギーの発症 ・歯髄壊死(歯の神経が死んでしまう) 等のリスクが考えられます。 |
| その他/備考 | 上顎左側犬歯は娘さんとぶつかったことによって神経が死んでしまいました。 その後治療を行いました。 |




















