短期間で抜歯矯正を終えた見えない矯正(舌側矯正)治療を用いた20代男性の治療例
-
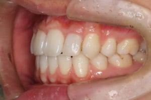
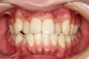
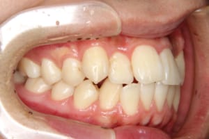
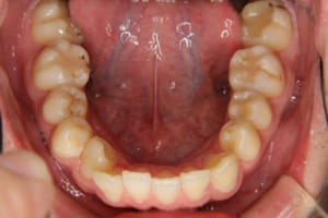
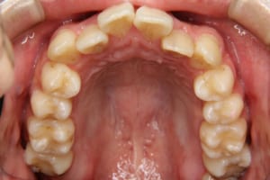
Before
-
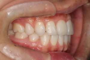
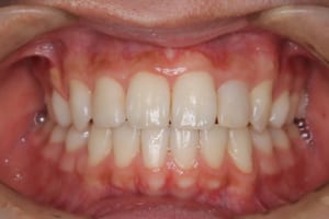
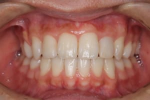
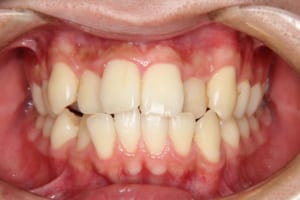
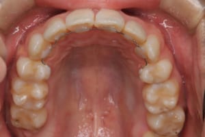
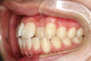
After
治療前
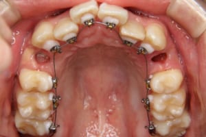
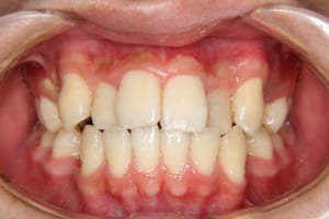
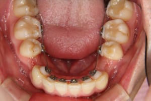
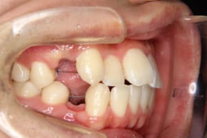
治療中
治療後
| 年齢・性別 | 22才 男性 |
|---|---|
| 主訴 | 前歯の凸凹 |
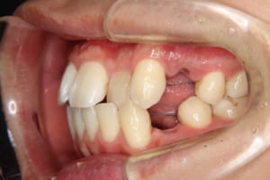
| 治療内容 | 舌側矯正治療(裏側矯正治療)を用いた成人矯正治療を行いました。 |
| 使用した装置 | マルチブラケット装置(舌側矯正装置) クリッピーLブラケット シルバーワイヤー |
| 治療回数 | 21回 |
| 治療期間 | 1年11か月 |
| 抜歯および非抜歯 | 上顎:両側第一小臼歯 下顎:両側第一小臼歯 |
| 費用(保定除く) | 1,082,900円(税込) |
| リスク・副作用 | 主なものとして、 ・歯の痛み ・虫歯/歯周病 ・口内炎 ・発音障害 ・食事の制限 ・歯肉の退縮(歯茎が下がる) ・知覚過敏 ・歯根吸収(歯の根が短くなる) ・金属やゴムのアレルギーの発症 ・歯髄壊死(歯の神経が死んでしまう) 等のリスクが考えられます。 |
| その他/備考 | 元々大学生の時点で矯正治療をスタートしましたが、治療途中で就職し転勤で紋別に異動となりました。 舌側矯正治療だったため転院せずに通院していただき、その後の保定治療期間中も患者様の希望もあり通院していただきました。 |




















